Our Blog
End Of The Year Insurance Benefits
If you haven’t come in for your routine cleaning or preventative care this year, it’s most likely free & covered under your Insurance plan.
We’re here at Merrill Ranch Family Dental to ensure your teeth get the best care, prevention and replacements as needed. 🦷
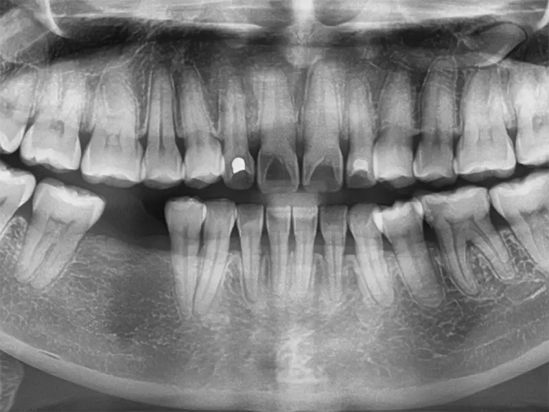
Can You Spot a Cavity Without an X-Ray?
Even “perfect” teeth can hide trouble; X-rays reveal what the eye can’t.
We’d love to help you with the best preventative care for your teeth. 🦷 👍
Dr Phelps At Anthem At Merrill Ranch
Another Saturday, another community event at Anthem at Merrill Ranch! 🙌
Proud Partners With Dentsply Sirona CEREC Technology
Fast & convenient, that’s what we do here at Merrill Ranch Family Dental. 😁🦷
Veteran’s Day Event At Anthem At Merrill Ranch
Merrill Ranch Family Dental will be giving out free water, popcorn and floss as we all enjoy this concert and honor our Veterans. ❤️💙
If you need a new family dentist in the Florence area, we’d love to be of service.
Dr. Phelps breaks down why fluoride is a safe and simple way to protect your smile.
Things You Shouldn’t Be Biting
Stick to food that’s meant to be chewed — your teeth will thank you! 🦷
As we get older, it’s natural for teeth and gums to face new challenges.












