Common Tooth Problems
October 21, 2025
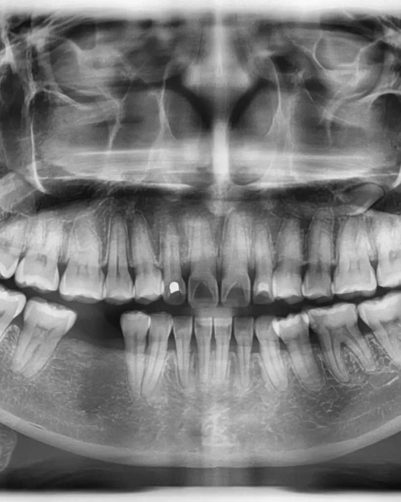
As we get older, it’s natural for teeth and gums to face new challenges. Enamel wears down, teeth can shift or crack, and gum recession exposes sensitive areas. Cavities often form in places that were never a problem before, and bone loss in the jaw can sneak up without symptoms. That’s why regular exams and X-rays are key — they reveal hidden issues early and keep your smile strong for years to come. 🦷✨

Posted in News
